前沿拓展:脚趾整形手术报销多少比例
南都讯 记者王道斌 通讯员郑琳 高跟鞋备受女性青睐。不过,茂名一女子因为年轻时爱穿高跟鞋,结果上了年纪后脚趾严重畸形,终只能通过截骨手术才能恢复正常行走。医生提醒,长期穿高跟鞋、尖头鞋的女士要特别要小心踇外翻。
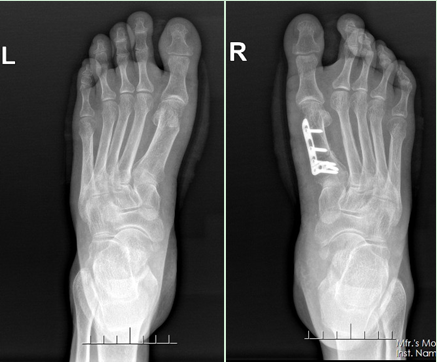
患者脚趾严重畸形。
患者手术后踇外翻得到有效纠正。李兰(化名)从20来岁开始就喜欢穿高跟鞋,如今57岁的她鞋柜里还保留着不少高跟鞋和尖头鞋。大概10年前,李兰发现自己的脚底板经常痛,大脚趾有点往里歪,按上去还有点儿疼痛。近年来,她发现自己大脚趾头歪得越来越。上个月初,李兰的脚更是痛得连路都走不了。“即使是穿平底鞋,走十几米不到就得停下来歇息。”痛苦不堪的她找到了广东三九脑科医院骨科主任柴亚胜。
柴亚胜接诊时发现,患者左脚大拇指往其他趾头的方向弯了近30°,而右脚就更加严重了,外翻角度将近40°,严重挤压了第二趾和第三趾。柴亚胜说,这是典型的“踇外翻畸形”,大多数人发病的原因跟常年穿高跟鞋、尖头鞋有重要关系。不过像李兰这样的情况就比较严重,需进行截骨矫形手术才能恢复正常走路。
完善相关检查后,柴亚胜为患者实施了“左脚第一跖骨头截骨、踇外翻矫形术和右脚第一跖骨截骨矫形内固定、踇外翻矫形术”。术中,患者左右脚的踇外翻得到有效纠正,术后疼痛症状减轻,术后一周便可以穿减压鞋下床走路。
“踇外翻不会自愈,如果不干预调节,外翻程度会日益加重。”柴亚胜说,如果不影响日常生活,可以选择保守的调节方式,但保守调节只能暂时缓解疼痛,没有的矫形效果。一旦出现疼痛症状加重、保守调节无效就要通过手术矫正。“矫正后,疼痛和畸形均可以消除。”柴亚胜强调,目前踇外翻畸形矫正技术已经成熟,手术时间短、出血少、恢复快,术后足功能改良,有助于生活质量的提高。
防止踇外翻加重,有四个小窍门,即:一少、二矮、三多、四练。
一少:尽量少穿尖头,尤其是前足被动挤压的鞋子;
二矮:鞋跟的高度好2cm-4cm之间;
三多:日常生活中多穿平底鞋、休闲鞋,运动时穿运动鞋;
四练:多活动脚趾,尝试脚趾抓毛巾、抓玻璃球、赤足行走。
拓展知识:脚趾整形手术报销多少比例
还有其他疑惑?想了解更多?可以点击 【在线咨询】