前沿拓展:浙大二院整形隆胸费用多少
来源:浙大一院
减肥,可能是每个爱美人士永恒的话题,如今减肥塑身的方式也越来越丰富无论选择哪一种方式,我们都建议要在专业人士的指导下进行
近,就接连有两位女孩因为在民营整形机构进行抽脂手术,却在术后发生了凶险的肺栓塞
被紧急送往浙江大学医学院附属第一医院进行抢救,经过多学科专家全力救治,两位女孩终转危为安
这并不是浙大一院第一次接诊在整形医院进行整形项目而发生险情的病例了,专家再次呼吁
爱美之心人皆有之,爱美追求一定要小心谨慎!
23岁女孩抽脂2200ml23岁的小月(化名)是东北人,3年前偶然一次机会来到杭州,一下子就喜欢上了江南水乡的风光,和家里商量后,小月在杭州一家公司找到了一份文员的工作,留在了这里。
说起来,小月从小就长得好看,她对自己不满意的,可能就是“身材”。其实在别人眼里,她并不胖,一米六五的身高,62千克,在标准体重之内。但小月总觉得自己还不够苗条,特别觉得腿有些粗,每次看到女明星的大长腿,她总是很羡慕。
这两年,小月用了好几种减肥方法,健身、吃药、节食,但她总是坚持不了太久。今年有朋友给她“安利”了抽脂减肥,只需要几个小时,就能实现目标。小月心里虽然也有点嘀咕,毕竟要做个手术,但耐不住一颗想迫切减肥的心,今年9月中旬,在多次比较后,选定了杭州某民营整形机构进行双下肢脂肪抽吸手术。
当天,小月在该整形机构接受了全麻手术,两条大腿前后侧共抽脂2200ml。“我醒过来后,就觉得有点胸闷,很想咳嗽,而且越来越厉害,就呼叫了护士。”小月说。
这之后的事情,小月就只有模模糊糊的印象了。当时小月出现了严重的胸闷气促,血氧饱和度低于90%(正常人在95%以上),血压也低于正常水平,该整形医院在进行紧急处理后,小月的情况仍没有好转,便迅速呼叫120一路飞驰将她送到了浙江大学医学院附属第一医院。
肺里一片“暴风雪”急诊接诊医生在了解小月的病史后,考虑其可能是抽脂手术后发生了肺栓塞,此时小月已经陷入昏迷状态,急诊科专家团队一边为小月完善各项检查,一边为其进行紧急对症调节,一边呼叫ICU、呼吸内科进行急会诊。
“肺栓塞是以各种栓子阻塞肺动脉或其分支的一组疾病或临床综合征的总称,会导致肺循环和呼吸功能障碍,小月在抽脂手术后出现血氧饱和度低等情况,再根据各项检查结果,基本可以判断是肺栓塞。若不及时调节,会导致严重的呼吸衰竭,严重者可能猝死,但如果能够尽早干预,预后还是比较好的。”浙大一院呼吸内科周华主任医师说。

一般来说,抽脂手术后发生肺栓塞,可能有两种原因:一是手术造成血管内皮损伤等原因,可导致深静脉血栓形成及肺动脉血栓栓塞的发生,为肺血栓栓塞;二是脂肪被抽吸后,由于脂肪细胞被破坏,脂肪细胞中的小颗粒有可能顺着破损的血管进入血液从而导致脂肪栓塞,为肺脂肪栓塞。这两种栓塞都可能在术后短时间内就发生。

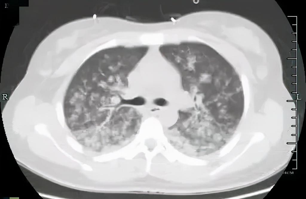
两种原因造成的结果相似,但调节方案截然不同。根据小月的肺动脉CTA、肺部CT等检查结果显示,小月为肺脂肪栓塞,此时小月的肺部已是白茫茫一片,就像暴风雪一样,脂肪进入她肺部,刺激血管发生痉挛,产生严重的炎症因子风暴!
小月被迅速转入ICU进行救治,肺部的脂肪会被机体逐渐吸收,但由于造成严重炎症,此时的生命支持调节就显得尤为重要,ICU专家团队通过激素、抗凝、抑酸护胃、补液等一系列对症调节后,小月的血氧饱和度渐渐恢复了正常。“我从整形医院开始就意识模模糊糊的,等我再次清醒过来时,发现自己在ICU里了。”
病情平稳后的小月,被转入呼吸内科普通病房接受了进一步的调节,经过神经内科、整形外科等专家会诊后,小月各项指标都已恢复,住院4天后,顺利出院。
而就在小月出院后不久,浙大一院急诊科又接诊到一例进行双下肢抽脂手术后发生肺栓塞的患者,这位女孩症状相对较轻,在呼吸内科接受调节2天后出院。
追求美丽需谨慎每个人都有追求美好事物的权利,也有让自己变美的权利。用科学、健康的方式让自己变得更好,这无可厚非,但近些年,已经有不少在整形机构进行整容,却发生意外的病例。
浙大一院曾经接诊过进行隆胸手术、却发生大出血的患者,接诊过尝试打新的美容针、却感染非结核分枝杆菌导致全身多处溃烂的患者,也接诊过点痣点出皮肤癌的患者……

“医疗美容手术作为侵入式医疗行为,手术本身具有一定的创伤性和医疗风险,不仅包括手术中还包括术后的维护。正规医院除了技术更成熟外,抢救的措施也更加完备,万一出现危险也可以及时开展救治。”浙大一院整形外科主任徐靖宏主任医师提醒广大爱美人士,不管是抽脂还是其他整形手术,本质上都还是一种手术,都存在一定风险,一定要选择在正规的大医院进行。
“我们这里平均一年进行600例以上抽脂手术,术前都要对患者进行详细的评估,制定个体化方案。”徐靖宏主任医师说,“抽脂手术不是小事,它是小切口、大创面。在手术过程中,医生的技术和经验也重要,如果操作熟练,一般不会出现严重并发症,但如果操作不熟练,或是暴力操作,就可能会出现并发症,轻则皮肤不整、麻木、形态不佳,重则发生栓塞、感染、坏死性筋膜炎、脓肿等,像栓塞(包括肺栓塞)的发生率大概在万分之二左右,在救治不及时的情况下,甚至会引起生命危险。”
虽然已是秋冬季节,但选择这个时间抽脂的人也为数不少。因为抽脂后,为了加快恢复、塑形,患者需要穿一段时间的塑身衣,而秋冬季抽脂,便可以不暴露塑身衣,同时减少出汗,有利于术后恢复。所以专家再次强调,爱美者在选择抽脂手术,或是其他医疗美容手术时,都一定要谨慎,必须选择经验丰富的医生开展手术,以免爱美不成,反倒将自身置于险境。
拓展知识:浙大二院整形隆胸费用多少
还有其他疑惑?想了解更多?可以点击 【在线咨询】