前沿拓展:贵港整形机售价多少钱啊
2022年已过去
2023年,我们将迎接新的一年
迎接新的希望与挑战
回顾过往,一路跋涉一路歌,披荆斩棘伴星河
挥手作别故年
让我们在温暖、感动与欣喜中
敬2022
敬每一位在生命战场全力以赴的平二医人
平南县第二人民医院2022年主要新闻回顾

推行广西电子健康卡扫码就诊

2022年1月,为优化医院诊疗服务流程、提高医疗服务质量、提升患者就医体验,平南县第二人民医院将推行广西电子健康卡扫码就诊,只要激活一次,区内开通电子健康卡的医院都能使用,同时,电子健康卡还具备,挂号、缴费、查询报告等功能,也是患者健康档案的金钥匙。
召开学科发展规划工作会议

为实现医院“十四五”跨越式发展的建设目标,提高医院学科发展的战略性、前瞻性与科学性,推进医院特色优势学科建设,2022年1月17-18日晚,平南县第二人民医院召开学科发展规划工作会议。邓兴昌院长作本次研讨会总结发言。他指出,医院召开学科发展会议的主要任务是聚焦老百姓的健康问题,学科建设发展的主要目标是解决老百姓的健康问题。
2021年度人体器官捐献工作先进集体

贵港市红十字会、贵港市卫生健康委员会联合举行了贵港市2022年度人体器官捐献工作会议。会议总结了2021年人体器官捐献工作情况,对2021年部分捐献案例进行分享讨论,表彰了2021年为遗体器官捐献工作做出突出贡献的单位以及先进工作者。
平南县第二人民医院严格按照广西壮族自治区人体器官获取组织(OPO)服务范围,在本地区依法依规共同参与推动人体器官捐献工作、普及人体器官捐献知识、积极传播人体器官捐献理念、树立正确的舆论导向。
96岁老人突发心梗,紧急救治化险为夷

平南县第二人民医院心血管内科心脏介入团队运用急诊介入技术,成功救治一例急性下壁心梗合并心衰、心源性休克以及三度房室传导阻滞的96岁高龄患者。经过8天的住院调节,患者恢复良好,并顺利出院。
驰援百色无畏出征

2月6日,接到紧急驰援百色疫情防控任务,平南县第二人民医院第一批26名医疗支援队员、2月10日第二批18名医疗支援队员无畏出征。
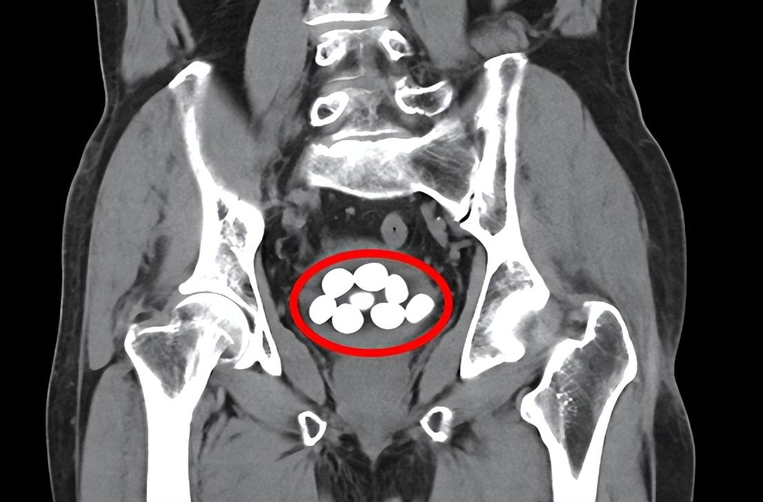
85岁老人9颗膀胱结石分别击碎取出

平南县第二人民医院泌尿外科为一位85岁老人成功实施经尿道膀胱结石碎石术和前列腺电切手术,将9颗膀胱结石分别击碎取出,解除了老人的病痛之苦。整个手术持续近2个多小时,术后第四天,经泌尿外科专科护理团队的精心护理,患者顺利出院。
平南县一台用于肿瘤放射调节的医用直线加速器

全国首批“千县工程”示范单位


4月20日,卫健委发布《关于“千县工程”县医院综合能力提升工作县医院名单的通知》,平南县第二人民医院入选“千县工程”综合能力提升医院,成为首批“千县工程”示范单位。
全区模范职工之家

平南县第二人民医院工会委员会在2021年度创建全区模范职工之家、全区模范职工小家、全区工作者活动中,成绩显著,获评“全区模范职工之家”,是平南县一家获奖单位。医院产科二区工会小组在全市先进职工之家、先进职工小家创建活动中,成绩突出,获评“贵港市先进职工小家”。
神经外科一项市级科研项目顺利通过验收

2022年4月23日,平南县第二人民医院神经外科承担的贵港市自筹经费项目(贵科攻2000079)《颅骨缺损后进行早期颅骨修补术在临床中的应用》顺利通过市科技局验收。该项目主要针对颅骨缺损病人进行早期颅骨修补,更有利于术后患者活动、康复训练,更有利于神经功能恢复。让患者早日恢复正常生活,恢复工作,减轻对社会、对家庭的经济负担。
低体重儿闯过难关

出生体重只有1440g,闯过了一道道难关,特别是感染大关,经过新生儿科全体医护人员悉心照料1月余,终于顺利出院,家人终于盼到小宝宝健康回家。
开展“5.12护士节”系列活动!



5月12日,平南县第二人民医院开展了“5.12护士节”系列活动!上午,平南县委副书记甘德权、平南县卫生健康局党委副书记、副局长张国晓一行到平南县第二人民医院为护士代表送上鲜花和慰问金。随后,医院党委副书记、院长邓兴昌率党政领导班子成员及相关职能部门负责人,深入医院各个科室,慰问辛勤工作的护理工作者,为她们送去了节日的祝福以及礼物。

下午,在医院大会议室举行5·12国际护士节表彰大会
白内障患者重获光明

今年50多岁的姚先生患白内障已经3年有余,因为担心手术预后效果差,他迟迟不敢到医院接受调节。直至双眼视力均严重下降,近半年来他的右眼基本就看不见东西,影响到自己的日常生活后,他才终于鼓足勇气来到平南县第二人民医院就诊,经过相关检查,初步确诊为双眼老年性白内障,收入五官科准备手术调节。
术前,五官科主任黄振雄查看了姚先生的病情,在察觉到他的焦虑后,通过多种方法鼓励和安慰对方,并成功消除了姚先生对手术的恐惧和担忧。得到姚先生的认可后,黄振雄成功为他的右眼实施“白内障超声乳化摘除+人工晶体植入术”。术后,姚先生恢复良好,右眼视力术前只有0.04,术后恢复到了的0.8,眼前的世界再次变得明亮了,他和家人的甚是欢喜。
海姆立克法救人

一名1岁男孩异物卡喉,情况十分危急,若不及时正确处理,后果不堪设想。千钧一发之际,平南县第二人民医院康复调节师甘桂和出手相救,化险为夷。
同乡志愿者服务团

医院开展创新志愿者服务的重大举措----“同乡志愿者服务团”的建设。为了推进党建引领,促进“健康中国”战略落地,以建设“清廉医院”为契机,结合“民族团结进步”创建活动,探索丰富“全周期健康管理”延伸服务,充分发挥员工乡情亲情的正向作用,积极投身患者服务,发动员工组建同乡志愿服务团。明确志愿者责任:协助提供就诊指导;协助医患沟通;根据各地乡里各民族的风俗习惯,指导相关部门科室针对性提供特需服务;回乡加强医院文化与健康宣教。
妇科团队成功切除13斤盆腹腔巨大肿物

妇科团队成功切除盆腹腔巨大肿物,重达约13斤。
再造流程 全程高度关注病人

平南县第二人民医院开展创新服务提质增效的重大举措——以“全程高度关注病人”为目标,由运营部与服务部组织开展医疗服务“难点、痛点、堵点”等患者重点关切问题调查工作,利于医院对存在问题有针对性处理,不断优化流程,切实提高病人获得感、满意度,为了实现医院各类对外服务“一站式”办理,医院广泛收集窗口集中服务项目,重新打造门诊收费、住院结算中心布局,建设“一站式服务大厅”等等,通过多渠道政策与管理措施发力,在全院进一步强化“以病人为中心、全程高度关注病人”的服务氛围,引导医务人员眼睛向下,关注病人,取得良好效果。
无偿献血活动

平南县第二人民医院2022年全年开展三期无偿献血活动,以实际行动践行为人民群众办实事的初心使命,树立了热心公益、奉献爱心、情系患者的良好形象。据不完全收集统计,截止2022年12月28日,平南县第二人民医院职工及家属近1412人次,献血总量达424100ml,多人获得全国无偿献血奉献奖铜奖、银奖。
建设清廉医院 促进民族团结

建设清廉医院 促进民族团结 | 平南二医院原创歌曲《命运与共》发布
开展庆“七一”系列活动

7月1日,庆祝中国共产党成立101周年,喜迎党的二十大胜利召开,以党建引领,促进民族团结,平南县第二人民医院组织开展了系列活动。

▲邓兴昌作国旗下爱国主义教育讲话
“双镜联合”碎石

平南县第二人民医院泌尿外科团队依靠成熟的碎石技术及完善的碎石设备,采用经皮肾镜、输尿管镜“双镜联合”碎石取石术顺利为患者一次性清除左肾及左侧输尿管下段结石。
据悉,双镜联合碎石取石术在区内都较为少见,该项技术要求泌尿外科手术团队具备成熟的碎石技术,且医院要具备两套碎石系统。由于手术需要同时进行,对医生技术水平要求也较高。平南县第二人民医院泌尿外科经过多年发展,碎石设备完善,泌尿系碎石技术已达区内先进水平。
2022年新员工岗前培训开班典礼

7月11日上午,平南县第二人民医院举行了2022年新员工岗前培训开班典礼。医院党委副书记、院长邓兴昌率党政领导班子及职能部门负责人出席典礼。72名新入职员工参加了典礼。
经皮肝穿刺胆道硬镜碎石取石术

平南县第二人民医院外一科再创奇迹,为一位年近七旬的林奶奶成功实施一期经皮肝穿刺胆道硬镜碎石取石术。
肿瘤防治中心建设

建设肿瘤防治中心一是符合人民群众就医需求的,近年来新发肿瘤患者逐年增长,通过肿瘤防治中心的建设,让肿瘤患者不出远门就能享受到优质的医疗服务,我院肿瘤内科经过十年的发展,放疗、化疗、肿瘤介入调节等多种手段齐全,建设肿瘤防治中心具有技术基础。
2022年度职工子女升学表彰大会

8月15日,平南县第二人民医院在直加楼多媒体厅召开2022年度职工子女升学表彰大会。医院党委副书记、院长邓兴昌,副院长杨天俊、吴培群,工会主席吴华,受到表彰的职工子女,各科室负责人及职工代表等70余人参加本次会议。
贵港市2022年医师团队

平南县第二人民医院神经内科医师团队荣获“贵港市2022年医师团队”称号,神经内科医师杨智强、儿科医师覃旭华、麻醉科医师黄恒吉荣获“贵港市2022年医师”称号。
开展庆祝中国医师节系列活动

2022年8月19日是第五届中国医师节,今年的主题是“‘医’心向党,踔厉奋进!”。为迎接党的二十大胜利召开,推进党建引领,隆重纪念“8.19”中国医师节,平南县第二人民医院开展了庆祝中国医师节系列活动。
脊柱关节骨病科这两项发明获实用新型专利




平南县第二人民医院脊柱关节骨病科主任蒙德带领团队研发的“一种椎间孔镜定位装置”及“一种脊柱椎弓根打钉位置定位装置”获实用新型专利证书。
42枚子宫肌瘤,一次手术全部摘除

平南县第二人民医院妇科成功完成一例经腹子宫多发性肌瘤剔除术,共剔除42枚大小不等的子宫肌瘤,为患者保留了完整的子宫。一次性剔除如此之多的子宫肌瘤并且保留住子宫,此例手术在区域内实属不多见。
美贺客

美贺客丨老人婚宴上异物卡喉,不省人事,旁桌医生火速急救
鸡胸微创矫正术!


平南县第二人民医院胸外科成功完成一例儿童鸡胸微创矫正术,为一名7岁儿童成功矫正了畸形胸廓,让患儿重拾信心!
超声与神经刺激仪双重引导神经阻滞技术

平南县第二人民医院麻醉科新引进了神经刺激仪用于神经阻滞麻醉,现已成功超声与神经刺激仪双重引导神经阻滞技术开展了50余例。取得了良好的效果。
调节尿频、尿失禁有神招,经颅磁刺激技术可摆脱困扰
经颅磁刺激技术(简称TMS)是一种、的绿色调节方法,磁信号可以无衰减地透过颅骨而刺激到大脑神经,实际应用中并不局限于头脑的刺激,外周神经肌肉同样可以刺激,因此都叫它为“磁刺激”。对神经源性膀胱、失眠、慢性疼痛、脑卒中偏瘫等有显著的疗效。

“家门口”看名医

完成罕见重复双输尿管碎石术

平南县第二人民医院泌尿外科成功为来一位左侧尿路先天性畸形,罕见的重复双侧输尿管畸形并结石形成实施了经皮肾镜碎石术,在调节高难度罕见泌尿系结石的征程上又前进了很大一步,为平南县及周边患者不出远门即能享受到媲美三甲医院的调节水平。
彰显宪法、弘扬宪法精神

平南县第二人民医院举行中层干部任职前系列教育活动。医院党委副书记、院长邓兴昌,院领导吴培群、梁家美、梁世泉、吴华以及职能科室负责人、新任命中层干部、后备干部参加此次活动。
千名专家走基层

为扎实推进医院各学科的规范化发展,进一步提升医院诊疗服务水平,给广大患者提供更优质的服务,11月13日,平南县第二人民医院举行皮肤科开科5周年庆暨医学美容专题讲座、义诊活动,医院党委副书记、院长邓兴昌率党政领导班子及相关职能科室负责人参加。
本次活动邀请了广西医学会医学美学与美容学分会、激光医学分会专家团队来院开展授课、指导、义诊等活动。专家分别是广西医科大学第二附属医院副院长、硕士生导师、医疗美容科(广西医科大学美容整形中心)主任医师张立明教授,医疗美容科主任、硕士生导师周翔,医疗美容科副主任、医学硕士、莫海雁副教授,主诊医师潘福强博士,贵港市港北区人民医院院长覃秋海主任医师,桂平市人民医院党委副书记、院长、烧伤整形外科主任容勇贤主任医师,贵港市人民医院整形美容中心陈杰副主任医师一行7名医疗美容专家团队。
学习贯彻党的二十大精神

根据中国共产党平南县委员会宣传部《关于进一步做好学习贯彻党的二十大精神宣讲相关工作的通知》安排, 2022年12月8日下午,县宣讲团成员、县第六人民医院党支部书记、院长赵耀灿到我院开展学习贯彻党的二十大精神平南县宣讲团报告会(平南县第二人民医院专场),会议由党委副书记、院长邓兴昌同志主持,党政领导班子成员、全体党员和中层干部共150多人参加宣讲报告会。
2022年,在平南县第二人民医院与死神赛跑、为生命护航的故事,每天都在上演;在生命的战场上,平二医人打了一场又一场漂亮的胜仗,每个全力以赴的瞬间都让人热泪盈眶。
2023年,我们将继续乘风破浪、勇攀高峰,守护好每一个平凡而闪亮的人,愿山河无恙,愿所有坚守都能奔向团圆!
来源| 编辑|宣传科 审核|李华泉 审批|梁家美
拓展知识:贵港整形机售价多少钱啊
还有其他疑惑?想了解更多?可以点击 【在线咨询】