前沿拓展:上海成人牙齿整形得多少钱
越来越多的人希望在不破坏美观的前提下,通过佩戴隐形或者近乎隐形的矫治器进行正畸调节。
而正畸医生则希望能够在满足患者满意度的情况下,又能获得更出色矫治效果的矫治器进行调节。
因此,在此契机上,隐形的舌侧固定矫治器成为了满足不断增长的成人正畸调节需求的必需品。

图片来自网络
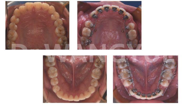
舌侧正畸的优点:
1.极高的美观度
舌侧正畸从外观看是完全隐形的,可以说是比隐形矫正更为隐形。而隐形牙套或者陶瓷制成的牙套,仍然是可见的。这也就是为什么对个人形象要求比较高的职业,例如演员、主持、律师、销售等都选择舌侧牙套。。

图片来自网络
2.调节周期短
因为个性化控制,使得舌侧矫正的矫正时间可以缩短1/3-1/2不等,按照平均矫正时间算下来可以缩短0.5-1年。
3.避免因矫治器相关的牙釉质托矿
尽管在使用唇侧固定矫治器时有许多预防性措施防止医源性损伤,可一旦去除唇侧托槽,唇侧牙釉质托矿仍然是常见的情况。而舌侧牙套就会很大程度上,减少舌侧牙釉质托矿的情况发生。尤其对于我们容易托矿的青少年群体来说,舌侧是很不错的选择。

4.自律性
有些朋友想要求美观,但是自控力不高,另一方面还对饮食的要求比较高。相较于唇侧对很多饮食有所限制,容易造成托槽脱落,或者隐形牙套不能佩戴足够时间导致效果不佳的情况。舌侧就可以避免这些问题。
5.创伤性
可避免在运动汇中类似唇侧矫治器对唇部的损伤(尤其对于运动员),可减少口腔溃疡等口内伤害。
6.病例优势
骨性病例:因为底板可以与牙齿贴合,以及对不同症状结的弓丝结扎方式是不同,所以对于垂直向的控制力强,因此可以调节开合矫正、深覆合深覆盖、前突等病例

拔牙病例:舌侧矫正技术增强了对后牙支抗的控制,也就可以更有效地控制牙齿的移动,因此对于需要拔牙,但是又不能很好地进行控制的病例就很适合舌侧。
前突病例:舌侧矫正在凸面畸形拔牙矫治中的特质优势一直处于领先地位,尤其对于前牙转矩需要良好控制的病例,更适合中国人的牙齿。

但其中,对于牙周病的患者不建议使用舌侧矫正。因为牙周病患者对于清洁要求高,而舌侧托槽是在内侧,很影响清洁,一方面也不利于我们清洁,另一方面也会影响我们矫正的速度。
【案例一】
骨性三类的成年人患者,前牙通常都会有不同程度的磨耗。因此矫正结束之后,前牙的贴面修复,可以帮助我们把耗损的牙齿形态恢复到适合患者脸型。正畸+全科美学修复,可以达到更棒的效果。


【案例二】
舌侧矫正| 拯救齐凸的利器
舌侧内收5个月战报,这是精致ol对侧颜的追求,不变的是整齐,变化的是侧脸的曲线


【案例三】
<双颌骨性前突>舌侧矫正中案例大家还记得之前那个正畸采访的舌侧女孩默默吗?——这是她舌侧矫正前和矫正6⃣️个月后的样子。
✨当时她面诊时检查诊断为双颌骨性前突,一般这种案例都要进行手术调节。
✨我给她做了详细检查后,各项数据显示她的情况可以通过舌侧矫正的方式也能达到不错的效果。
✨舌侧矫正可以达到其他矫治器达不到的,为患者口内的每颗牙齿进行个性化的定制,让牙齿能够更有效地移动,并在数字化排牙设计里增加了更多数据去控制牙根移动。
目前虽然还在矫正阶段,但在我们彼此的努力和配合下,仅仅6⃣️个月就完成✅了很好的内收,露龈笑也有了很大的改良,继续加油!


【案例四】
<舌侧矫正不到半年,“半整容式”的变化 >
舌侧美女矫正不到半年,突度内收已经有了很的效果,下巴出来后让整个侧貌都变得精巧,少女感
对于我们骨性前突、突面型的患者来说,通过舌侧牙套可以相比于其他矫治器能够更快速地排齐牙齿内收突度。还有它地垂直向控制的优势,对于我们下巴形态不佳的患者就是一个利器,可以让我们的下巴曲线更加柔和自然!

任何牙齿矫正方面的问题,欢迎大家私信联系我。
拓展知识:上海成人牙齿整形得多少钱
还有其他疑惑?想了解更多?可以点击 【在线咨询】